jueves, diciembre 13, 2012
La Sábana de Constantinopla (2)
[The Holy Virgin Blachernitissa, divine protectress of the Byzantine Empire, now in the Tretyakov Gallery (coppy from the Stroganov collection)]
Comentaba en el post anterior cómo la estrategia escéptica trata de anular el testimonio de Robert de Clari que es contundente, los viernes se mostraba en Santa María de Blachernae una sábana mortuoria con la imagen de Cristo.
Andrea Nicolotti y otros "palmeros" añadidos, pretenden que Robert de Clari si lo presenció, o quien lo presenciara y relatara al caballero cruzado, confundiera el que en su momento se denominara "milagro usual", un velo rojo que cubría parte del icono de la Blachernitissa (Virgen con el niño Jesús en sus brazos) se levantaba como movido por el aire, con una sábana mortuoria mostrando el cuerpo de Jesús.......
"Come suggerisce lo stesso Nicolotti, si trattava molto probabilmente di un velo dispiegato e ritualmente sospeso sopra un’icona della Vergine con il Cristo in grembo......"
[ "Como sugiere el mismo Nicolotti, se trataba muy probablemente de un velo desplegado y ritualmente suspendido sobre un icono de la Virgen con Cristo en su regazo...." nos cuenta el escéptico Luigi Canetti.
¿No es una "confusión"genial?
Mantuve un intercambio de comentarios sobre el tema con Andrea Nicolotti en el blog de Dan Porter, bastante interesante pues me contestaba en español ( es un gran erudito) y deja claro bastantes cosas, como que es prepotente, tendencioso y no le importa acudir a la falsedad llegado el momento......, grave problema muy común en el escepticismo "organizado" y que hace perder la CREDIBILIDAD de lo que escriben sus miembros más eruditos obligando al lector interesado a acudir a las "fuentes" originales ¿cómo distinguir si no lo verdadero de la falso?.....
Pero a Andrea Nicolotti, llegado el momento no le importa prescindir de la Virgen con el niño en brazos y su velo, ¿en qué quedan sus eruditos trabajos?, y me contesta:
"Podría ser cualquier tela con la imagen de Cristo muerto COMO MUCHAS ESTABAN EN ESE MOMENTO....." (las mayúsculas son mías).
¿De dónde saca Nicolotti esas inexistentes muchas telas con imágenes de Cristo muerto?. Así "funciona" el escepticismo "organizado".
Incluyo el total de mi intercambio de comentarios con Nicolotti (haciendo el click sobre ellos se leen perfectamente):
martes, noviembre 27, 2012
La Sábana de Constantinopla (1)
Rastrear la historia de la Sábana Santa con anterioridad a su aparición en la Colegiata de Lirey, un pequeño pueblo, hacia 1355, es difícil, complejo y confuso.
Gillaume de Tyr (Guillermo de Tiro, 1130-ca 1185), arzobispo de Tiro, historiador de las cruzadas y preceptor del rey de Jerusalem Balduino IV, describe una ostensión de las más notables reliquias en el año 1171 llevada a cabo en Santa María de Blachernae por el emperador Manuel en honor del rey franco de Jerusalem, Amaury (Amalarico I), quien la presencia junto a sus barones. Quedan maravillados, al lado de la verdadera Cruz, de los clavos, de la lanza, de la corona de espinas, estaba la la sábana que se llama "synne" donde fue envuelto Jesús («le drap que l'on appelle synne où il fut envelopez» ). No menciona la presencia de imagen pero refuerza la probabilidad de la presencia de la Sábana Santa en Constantinopla.]
Un momento en el tiempo en el que se encuentra el testimonio más sólido de la presencia en Constantinopla de una sábana mortuoria con la imagen corporal de Jesús es entre 1203-1204.
Así lo atestiguaba el caballero cruzado Robert de Clari.
Los ejércitos de la Cuarta Cruzada atacaron y conquistaron Constantinopla y la mayoría de los cruzados estuvieron en la ciudad desde 1203 hasta el saqueo de la ciudad en 1204.
Uno de estos cruzados, el caballero francés Robert de Clari, escribiría un relato de lo que había visto, cuyo único manuscrito se guarda en la Biblioteca Real de Copenhague, manuscrito 487, en Dinamarca. De interés especial es lo que observó en la iglesia de Santa María de Blachernae:
"Et entre ches autres en eut un autre des mousters que on apeloit medame Sainte Marie de Blakerne, ou li sydoines la ou nostres sires fu envelopes, i estoit, qui cascuns desvenres se drechoit tous drois, si que on i pooit bien veir le figure nostre seigneur, ne seut on onques ne Griu ne Franchois que chis sydoines devint, quant le vile fu prise". " La Conquête de Constantinople".
["Y entre otras, había otra iglesia que llamaban Mi Señora Santa María de Blachernae, donde se guardaba la sydoine en que se había envuelto Nuestro Señor. Se levantaba cada viernes para que el cuerpo del Señor se pudiera ver con claridad, nadie supo jamás, ni griego ni francés, que fue de esta Síndone cuando la ciudad fue tomada". ]
No conocemos si Robert de Clari fue testigo presencial del hecho que relata, pero es evidente que la reliquia a que se refiere era muy conocida y muy estimada ( "...... nadie supo jamás, ni griego ni francés, que fue de esta Síndone cuando la ciudad fue tomada".)
Su testimonio es tan rotundo, una sábana mortuoria (sydoine) que habiendo envuelto el cuerpo de Jesús mostraba su imagen corporal, que incluso el escéptico Antonio Lombatti (profesor de la Università Popolare in Parma, Italy) lo asume, bien que lo haga porque beneficie a sus intereses del momento, atacar la hipótesis de Ian Wilson que propone la identidad del Mandylion de Edesa con la Sábana de Constantinopla:
"Perché è importante il racconto di questo crociato? Fondamentalmente per due motivi. Il primo è che De Clari è il primo testimone che attesta l'esistenza di una sindone con impressa su di essa un'immagine. Il secondo, ancora più rilevante, è che questo crociato opera una netta distinzione tra il Mandylion di Edessa, conservato nel Palazzo Bukoleon ......" . Antonio Lombatti en " La Sindone e le storie impossibili (2)"
[¿Por qué es importante la historia de este cruzado? . Básicamente por dos motivos . El primero es que De Clari es el primer testimonio que da fe de la existencia de una sábana con impresión sobre ella de una imagen. El segundo, aún más importante, es que este cruzado hace una clara distinción entre entre el mandylion de Edesa........].
Pero el aceptar la presencia en Constantinopla de una sábana mortuoria con la imagen de Cristo, tal como lo expresaba Robert de Clari , resulta ser una pésima estrategia para los adversarios de la Sábana Santa, pues deja abierta la posibilidad a su identidad (muy probable) con la Sábana de Turín......como ya advertía el escéptico Maurice Vernes en 1902 ("Controversia de Paris"):
["Il m'est impossible, en second lieu, de comprendre sur quoi ils se fondent pour affirmer que le suaire de Turin est « le même que le linceul attribué au Christ et conservé à Byzance dans la chapelle des Empereurs, suaire sur lequel les traits du Christ étaient également reproduits » ; ce rapprochement, d'après ces messieurs, n'était jusqu'ici qu'une possibilité ; mais, à la suite des recherches entreprises par eux, il « est devenu presque une certitude ». Cela signifierait que le suaire de Constantinople, étant considéré comme authentique, doit être tenu pour identique à celui de Turin, qui est lui-même authentique. Cette identification fournirait, en effet, comme l'indique M. Loth, un moyen pour combler en partie l'intervalle effrayant qui sépare l'apparition de notre suaire des événements auxquels il doit son origine. Mais ce n'est qu'une simple hypothèse, en faveur de laquelle on n'a cherché à produire aucun témoignage. L'allégation doit donc être tenue pour absolument étrangère au présent débat." Maurice Vernes.]
http://blog-
dominique.autie.intexte.net/blogs/index.php/2006/04/16/title_9
Así que la estrategia escéptica da un "giro", y el escéptico Andrea Nicolotti, profesor de la Universidad de Turín, no pudiendo negar la existencia del testimonio del cruzado Robert de Clari, opta por negar la veracidad de su relato.
El gran erudito escéptico Andrea Nicolotti no dudará en mostrarnos al caballero cruzado Robert de Clari como un crédulo analfabeto capaz de confundir, digo yo, a San Antón con la Purísima Concepción ( por aquel dicho de " .. si tiene barba es San Antón y si no, es la purísima Concepción").
Robert de Clari se equivocaba, confundía la sábana mortuoria y la imagen del cuerpo de Jesús con la imagen de la Virgen María ¡ ahí es nada!
¡Esa si que es una buena estrategia!
sábado, octubre 27, 2012
¿40 sudarios medievales?
La deshonestidad intelectual de algunos
escépticos está en relación directamente proporcional a su cristofobia.
Se expresan de manera que sus palabras
induzcan la
confusión, que se facilite la confusión.......
Es patente la intención de confundir al
lector, habitualmente poco conocedor del tema, de una manera tal que el lector llegue a creer que existieron en la
Edad Media muchas sábanas que, pretendiendo ser la mortaja de Jesús de Nazaret, mostraran su imagen corporal.
Y eso es FALSO.
¿De dónde salen esos 40 ”burial cloths of Jesus”
a que se refiere Lombatti?.
El escéptico italiano
Antonio Lombatti se refiere al canónigo Ulysse Chevalier, historiador de
la Iglesia más conocido por el hallazgo del “Memorandum D´Arcis” (documento no firmado, no sellado y no fechado atribuido al obispo
Pierre D´Arcis, y que Chevalier dató en 1389 porque así convenía a
sus propósitos),
aunque luego Antonio Lombatti nos cuente en su blog que su fuente es Ferdinand de Mély (Le Saint-Suaire de Turin est-il authentique ? Parigi, 1902, p 21), y nos
cuente también que ha estudiado en detalle el libro de Gaetano Ciccone (se refiere al
libro de Ciccone
" La sindone svelata e i quaranta sudari" Editrice Donnino, 2006).
Faltaría, digo yo, el haberse referido
también al " Tratado de las reliquias" de Jean Cauvin
(1509-1564), latinizado como Calvinus, uno de los padres de la reforma
protestante y gran adversario y destructor de reliquias.
Calvino escribió en su "Traité des reliques":
Il est temps de traiter du suaire, auquel ils ont encore mieux montré
tant leur impudence que leur sottise. Car outre le suaire
de la Véronique,
qui se montre à Rome en l'église de Saint-Pierre, et le couvre-chef que
la Vierge Marie, comme ils disent, mit sur les parties honteuses de
notre Seigneur, qui se montre à Saint-Jean de Latran, lequel aussi bien
est derechef aux Augustins de Carcassonne; item, le suaire qui fut mis
sur sa tête au sépulcre, qui se montre là même; il y a une demi-douzaine
de villes, pour le moins, qui se vantent d'avoir le suaire de la
sépulture tout entier; comme Nice, celui qui a été transporté là de
Chambéry; item, Aix en Allemagne; item, le Traict; item, Besançon; item,
Cadoin en Limousin; item, une ville de Lorraine, assise au port
d'Aussois; sans les pièces qui en sont dispersées d'un côté et d'autre;
comme à Saint-Salvador en Espagne, et aux Augustins d'Albi. Je laisse
encore un suaire entier qui est à Rome en un monastère de femmes, pource
que le pape a défendu de le montrer solennellement".
Calvino, bastante más
cercano a la Edad Media que Chevalier, de Mély o Lombatti, decía conocer
"una media docena de ciudades, por lo menos, que se jactan de tener el
sudario entero de la sepultura", así que cuenta 2 veces la sábana que
hoy conocemos como Sábana Santa ( su estancia en Chambéry y su estancia
en Niza), cuenta la sábana de Besançón (copia de la anterior y de 1523),
la sábana de Cadouin que no tenía imagen y dos sábanas más de las que no
hay constancia de que tuvieran ninguna imagen.
Claro que, Calvino con
su escasa media docena de "sábanas enteras" no servía para los intereses
de los que postulan las "40 sábanas medievales"........
El canónigo Ulysse Chevalier,
gran adversario de la autenticidad de la Sábana Santa,
escribía en su obra “Le St.Suaire de Lirey-Chambéry-Turin et les
défenseurs de son authenticité”, p.10. A.Picard et fils, 1902:
“Le nombre des suaires
connus atteint la quarantaine: je laisse a M. de Mély le soin de donner
une description de chacun d´eux et d´indiquer les autorités qui
attestent son existence.”
Ulyses Chevalier nos
cuenta que estudió unos 14 textos "qui concernent les uns au suaire de
la tête, les autres le linceul ou les linges" ( " que conciernen los
unos al sudario de la cabeza, otros a la mortaja o a los
lienzos")....pero al parecer sólo valoró como "competidor" de la Sábana
de Turín a la Sábana de Besançon
que está documentada desde 1523 (copiada probablemente de la de Lirey y
que mostraba sólo la imagen frontal).
De los 19 “sudarios” que
citó el arqueólogo M. de Mély, el canónigo Ulysse Chevalier no valoró ninguno .
El escéptico Maurice
Vernes, buen conocedor de la obra del canónigo y del arqueólogo , nos
aclara bastante bien el tema en el debate que tuvo con Paul Vignon en
1902 ( “Controversia de París de 1902″, Revue scientifique, n° 20 du 17 mai
1902, pp. 613-623):
“L’abbé Ulysse Chevalier,
fort compétent en la matière, a énuméré dix-neuf localités où étaient
conservés, soit le linceul du Christ en son entier, soit de très
notables portions du drap funéraire. Un archéologue de valeur, M. F. de
Mély, est en mesure, pour sa part, d’en citer dix-neuf autres ; un petit
nombre sont porteurs d’effigies ou empreintes, notamment celui qu’on
exhibait jadis à Besançon et qui a disparu lors de la Révolution.”
Que viene a querer
decir:
" El abad Ulysse
Chevalier, muy competente en la materia, enumeró diecinueve localidades
donde fueron conservadas, sea la mortaja entera de Cristo , sean muy
notables porciones del paño fúnebre. Un arqueólogo de valor, Sr. F de
Mély, se halla en situación, por su parte, de citar otros diecinueve ;
un pequeño número es portador de efigies o impresiones, particularmente
el que se exhibía antaño a Besançon y que desapareció durante la
Revolución. "
[ La “Controversia de
Parí de1902″ entre Maurice Vernes y Paul Vignon, con una carta al
director de Ives Delage ha sido editada por Dominique Autié (q.p.d), es
muy interesante pues Vernes plantea la que será a partir de entonces
la ESTRATEGIA ESCÉPTICA respecto a la Sábana de Turín]
[La genialidad y el
buen hacer de F. de Mély como "buscador de sudarios" lo podemos reflejar
en este maravilloso hallazgo que comunica a Maurice Vernes:
« Il
y a là, à la Bibliothèque Nationale, un suaire sur étoffe que m'a fait connaître
M. Bouchot, l'éminent conservateur du cabinet des estampes ; je
l'ai photographié avant-hier et j'ai obtenu, moi aussi, à Paris, une « épreuve
négative », tout comme celle de Turin".
¡El arqueólogo
F. de Mély encontró en la Biblioteca Nacional un "nuevo" sudario!
¡ Que ridiculez!, el sudario de la
Bibliothèque Nationale de
París resultó ser una pequeña copia de 35 centímetros de la Sábana de Besançon.
Y es que Dios
los cría y ellos se juntan, que dice el refrán.]
La campaña
escéptica en contra de la autenticidad se desató en 1898 con ocasión de la
fotografía que realizó Secondo Pía mostrando una imagen en su negativo
totalmente insospechada.
Los
adversarios de la Sábana de Turín en 1902, muy bien representados por Ulysse
Chevalier, F. de Mély y Maurice Vernes, conocían perfectamente que NO EXISTIÓ en
la Edad Media ninguna Sábana que pretendiendo ser la mortaja de Cristo mostrara
su IMAGEN, con tan sólo UNA EXCEPCIÓN, una Sábana desaparecida, robada, en 1204
tras el saqueo de Constantinopla por los cruzados, la sábana de
Constantinopla.
Escribía el escéptico Maurice Vernes en la“Controversia de París de
1902″:
“Parmi les nombreux
linceuls du Christ qui ont été vénérés en Europe, celui de Turin, en
raison des empreintes qu’il porte, a donné lieu à un rapprochement avec
une pièce d’étoffe également désignée à l’attention par la présence
d’une effigie, le suaire jadis conservé à Constantinople.”
Que viene a querer decir
que debido a la imagen que presenta la Sábana de Turín se la ha querido
relacionar con otra Sábana que también presentaba imagen y se conservaba
antaño en Constantinopla.
Así que la alusión a los
"cuarenta sudarios medievales" tiene 2 claros propósitos dentro de la
estrategia escéptica:
1.- Inducir la falsa
creencia de la existencia de muchas sábanas mortuorias en la Edad Media
con la imagen del cuerpo de Cristo, de manera que la Sábana de Turín
sería "una de tantas".
2.- Debilitar la
posible y muy probable relación entre la Sábana de Constantinopla y la
Sábana de Turín, el hecho de que ambas Sábanas fueran la misma, la
Sábana de Constantinopla robada en 1204 en el saqueo de la ciudad y la
Sábana de Turín aparecida en 1355 en el pequeño pueblo de Lirey.
sábado, octubre 20, 2012
miércoles, octubre 17, 2012
El halo o aureola alrededor de la cabeza
Lo cierto es que nunca lo había advertido......pese a haberlo tenido delante de los ojos infinidad de veces.
¡Y es que se puede mirar y NO VER!.
Unos comentarios, demasiado crípticos, realizados por un "habitual" en el magnífico blog de Dan Porter, en el que yo participo con comentarios también y con cierta frecuencia, me puso sobre aviso y excitó mi curiosidad.
Así que busqué la presencia de un halo o aureola sobre el rostro del Hombre de la Sábana..........¡y se advierte "a la primera"!.
Se ve perfectamente sobre la fotografía de la Sábana de Enrie (1931), sobre la de Secondo Pia (1898), sobre la de Vernon Miller (1978), sobre la de Carlo Durante (restauración del 2002 *), etc, etc lo que deja claro que NO es un artefacto fotográfico.
Una vez que se ha observado el halo o aureola por vez primera, se RECONOCE ya de inmediato en todas las fotografías de la Sábana Santa ( los positivos) siempre que :
-Sean de muy buena calidad (tengan el mayor "peso" en Kb).
-Se reduzca su tamaño a fin de que ojo perciba con nitidez las diferencias de contraste.
-Sean de la Sábana al completo de manera que su longitud TOTAL no exceda la altura de la pantalla del ordenador.
Esa es en mi opinión la mejor manera de observarlo.
Mientras preparaba este comentario he encontrado que el halo había sido descrito por los Whangers en 1998, y el lector encontrará más imformación en el trabajo " The halo around de head" de Danin, Petrus Soons y los Whangers de 2009.
Pongo los links al trabajo en inglés y en español:
http://shroud3d.com/findings/the-halo-around-the-head
http://www.sabanasanta3d.org/es/descubrimientos-en-los-materiales/halo-alrededor-de-la-cabeza/
Se aprecia este halo o aureola también magníficamente en las fotografías 3D de Thierry Castex, en las que obviamente aparece como un halo oscuro al ser un "negativo" de la Sábana.
http://thierrycastex.blogspot.com.es/
Para los escépticos la imagen corporal del Hombre de la Sábana y las manchas de sangre están producida por el pigmento ocre rojo, óxido de hierro natural ( tan sólo visto e identificado por Walter McCrone) , asociado a pigmento bermellón en la sangre.
En la versión escéptica moderna, la versión de Walter McCrone es indefendible, la imagen corporal actual se debe la oxidación de las fibrillas del lino producida por los contaminantes ácidos del pigmento ocre rojo natural, del que sólo quedan las trazas (partículas de tamaño sub-micrón) pues pigmento y contaminantes se han "desprendido" (?) desapareciendo con el paso del tiempo.
Teniendo en cuenta que las zonas sin imagen corporal carecen de pigmento ¿cómo podría el genial artista medieval conseguir ese efecto de halo o aureola?.
Pictóricamente es IMPOSIBLE.
*Dice un viejo refrán " ¡Guárdame Señor de mis amigos......que de mis enemigos me guardo yo!". Pese al "terrorismo arqueológico" que supuso la "restauración" de la Sábana y su evidente pérdida de contraste por las operaciones de "limpieza" (?), el halo o aureola se sigue visualizando y se advierte cómo el halo por su parte inferior afecta la zona situada por encima de los pectorales.
viernes, septiembre 07, 2012
Los ecos de la estupidez
Hay propuestas MUY ESTÚPIDAS que siguen manteniendo su ECO en las páginas escépticas :
¡ No poder ALCANZAR con las manos los genitales, estando tumbados.!
No conozco si existe un origen anterior de esa estúpidas propuesta. La leí por vez primera en la revista del CSICOP "Pensar":
"Cualquier persona que quiera simular la posición del supuesto"cadáver", puede hacer lo siguiente: acostarse en el suelo boca arriba, dejar reposar los codos sobre el suelo, tomar una de las muñecas con la otra mano, y sin despegar los codos del suelo, tratar de ocultar los genitales... lograr esta posición es tan imposible como morderse el codo. Es claro que el falsificador que pintó la imagen tuvo bien claro que sería poco decoroso mostrar los órganos genitales del Nazareno en un lienzo que se iba a exponer públicamente para atraer peregrinaciones."
" Las anomalías ignoradas del Sudario de Turín". Hernan del Toro.
"Pensar".Volumen 1 Número 1 Enero/Marzo 2004
[PENSAR era una publicación del CSICOP de Colombia, en idioma español (castellano)
Committee for the Scientific Investigation of Claims of the Paranormal Center for Inquiry International
Escribe el autor del artículo, y lo RESALTA en letra "itálica" (
yo lo he escrito aquí con letra "mayúscula").
" .....Y SIN DESPEGAR LOS CODOS DEL SUELO......",
Es condición "sine qua non" ( condición necesaria e
imprescindible) que la articulación del codo quede FIJA contra el suelo para así no poder
alcanzar los genitales......¡ ni la BOCA, ni la NARiZ, ni la OREJA, etc,etc,!
Hay que ser MUY TORPE para no advertir la TRAMPA, y la mayoría de
los "copistas escépticos" prescinden de esa frase ("....Y SIN DESPEGAR LOS
CODOS DEL SUELO......",) causando estupor en los
lectores NORMALES, que alcanzan sus genitales con las manos estando tumbados sin
el menor problema.......
¿Por qué tendrían que estar los CODOS del Hombre de la Sábana
PEGADOS al
suelo?
Es una ESTUPIDEZ de los escépticos "organizados", en realidad
ateos cristófobos.
jueves, agosto 16, 2012
Una intuición...
Cualquiera que haya sido el mecanismo de formación de la imagen, natural o sobrenatural, de naturaleza física o de naturaleza química, la imagen es posible (y muy probable) que haya tenido un periodo de latencia de meses, años e incluso siglos.
Tanto los experimentos del ENEA con radiación UV (hipótesis física), como la "para mi improbable" reacción de Maillard propuesta por Rogers (hipótesis química) contemplan periodos de latencia en la aparición del COLOR.
¿Siglos?
Incluso la propuesta excéptica lo contempla; para el profesor de química Luigi Garlaschelli, para quien la imagen fue en principio una PINTURA, las impurezas ácidas acompañantes del pigmento ocre rojo con el que se pintó la imagen serían las responsables de la oxidación-deshidratación de las fibrillas del lino que proporcionan el color amarillo de las fibras que configuran la imagen ACTUAL, que sería muy distinta de la pictórica original.
¿Qué cabría esperar de una imagen que hubiera tenido un periodo de latencia de siglos?
- Una Sábana que no mostraría imagen en principio, sino sólo las manchas de sangre.
- La cabeza y el rostro sería lo primero en ser reconocible al cabo de unos siglos en tanto el resto de la figura no sería todavía interpretable como tal figura corporal, (sólo una imagen del rostro producto del sudor y de la sangre de un Jesús vivo) aunque se iría abriendo la idea de que la gran mancha de sangre sería consecuencia de la lanzada en el costado y se relacionaría con las otras manchas de sangre de la Sábana.
(no hay elementos de juicio para sospechar que los ojos están cerrados)
-Las primeras interpretaciones no habrían pues relacionado la sábana con una mortaja funeraria al no ser reconocible la figura corporal, ya que sólo después del año mil, y ya en Constantinopla toda la imagen TERMINARÍA siendo visible y siendo reconocible como mortaja funeraria, la Sábana de Constantinopla.
Bajo esta óptica, una imagen latente que tardó varios siglos en empezar a ser visible y varios siglos en completarse, las contradicciones entre las diversas narraciones parecen ya no ser tales y se entendería perfectamente la evolución de la iconografía al respecto con anterioridad al 1350.
Creo que deber ser estudiada esta posibilidad que me surgió como "intuición".
Tanto los experimentos del ENEA con radiación UV (hipótesis física), como la "para mi improbable" reacción de Maillard propuesta por Rogers (hipótesis química) contemplan periodos de latencia en la aparición del COLOR.
¿Siglos?
Incluso la propuesta excéptica lo contempla; para el profesor de química Luigi Garlaschelli, para quien la imagen fue en principio una PINTURA, las impurezas ácidas acompañantes del pigmento ocre rojo con el que se pintó la imagen serían las responsables de la oxidación-deshidratación de las fibrillas del lino que proporcionan el color amarillo de las fibras que configuran la imagen ACTUAL, que sería muy distinta de la pictórica original.
¿Qué cabría esperar de una imagen que hubiera tenido un periodo de latencia de siglos?
- Una Sábana que no mostraría imagen en principio, sino sólo las manchas de sangre.
- La cabeza y el rostro sería lo primero en ser reconocible al cabo de unos siglos en tanto el resto de la figura no sería todavía interpretable como tal figura corporal, (sólo una imagen del rostro producto del sudor y de la sangre de un Jesús vivo) aunque se iría abriendo la idea de que la gran mancha de sangre sería consecuencia de la lanzada en el costado y se relacionaría con las otras manchas de sangre de la Sábana.
(no hay elementos de juicio para sospechar que los ojos están cerrados)
-Las primeras interpretaciones no habrían pues relacionado la sábana con una mortaja funeraria al no ser reconocible la figura corporal, ya que sólo después del año mil, y ya en Constantinopla toda la imagen TERMINARÍA siendo visible y siendo reconocible como mortaja funeraria, la Sábana de Constantinopla.
Bajo esta óptica, una imagen latente que tardó varios siglos en empezar a ser visible y varios siglos en completarse, las contradicciones entre las diversas narraciones parecen ya no ser tales y se entendería perfectamente la evolución de la iconografía al respecto con anterioridad al 1350.
Creo que deber ser estudiada esta posibilidad que me surgió como "intuición".
domingo, mayo 13, 2012
¿Natural o Sobrenatural?
Hay ocasiones en que sucede que "el arbol impide ver el bosque"....
En el pequeño mundo de la sindonología, constituido por aquellos que están interesados en el estudio de la Sábana Santa, se debate en algunas ocasiones si el evento que formó la imagen fue de carácter natural o sobrenatural.
Aceptada la autenticidad de la reliquia, ¿es la Sábana testigo y prueba de la Resurrección de Jesús de Nazaret?
Las dos hipótesis principales sobre la formación de la imagen, un producto de la oxidación-deshidratación de la capa más superficial de las fibrillas del lino ( bien sea lo oxidado su "capa celular primaria" o bien sea una finísima capa de impurezas que rodee a la fibrilla) que afecta tan sólo a las más superficiales de entre ellas, son:
1.- La energía que provoca la oxidación-deshidratación es de naturaleza química, suministrada por acción de los vapores amoniacales y aminas aromáticas procedentes del cadáver que actuando sobre una fina capa de " impurezas" de hidratos de carbono de bajo peso molecular que recubre las fibrillas de los hilos del lino producen una reacción de Maillard.
Sería la hipótesis natural en la que es determinante la difusión gaseosa.
Para sus partidarios la Sábana Santa NO sería la demostración de la Resurrección de Jesús.
(no ponen en duda la Resurreción de Cristo, que se basa en la Fé)
2.- La energía es de naturaleza física, una radiación del tipo ultravioleta que oxida-deshidrata la "capa celular primaria" de las fibrillas del lino, que quedan afectadas de manera similar a como quedan en los recientes experimentos realizados por los científicos del ENEA.
Sería la hipótesis sobrenatural (?) al no poderse determinar la "fuente" de esa energía.
Para sus partidarios la Sábana Santa SI sería la demostración de la Resurrección de Jesús.
¿Explica una u otra hipótesis, física o química, cómo se produce el "ordenamiento" de esas oxidaciones de las fibrillas para conformar una imagen "fotorealística"?. De ninguna de las maneras.
Personalmente no acepto por muchísimas razones la hipótesis química y me "simpatiza" la hipótesis física aunque dudo pueda explicar alguna vez lo que queda integrado en un evento de naturaleza NO INTELIGIBLE, único en la Historia y representado por la resurrección de Jesús de Nazaret.
Ninguna energía de las invocadas, química o física, podría haber provocado el DESPLAZAMIENTO de la Sábana que envolvía el cuerpo de Jesús.
Y ese desplazamiento SI demuestra el carácter SOBRENATURAL del evento.
Lo demostró Gilbert Lavoie de manera simple y sencilla, pero al parecer no muy entendida todavía por algunos sindonólogos.
Aceptada (demostrada) la autenticidad de la Sábana, sabemos sin lugar a duda que las manchas de sangre (que atraviesan el espesor de la tela) se han producido por el contacto físico con el cuerpo y con anterioridad a la formación de la imagen, pues si eliminamos la mancha de sangre en el lino no queda imagen.
[Las manchas de SANGRE sobre la Sábana NO son imágenes de sangre sino son manchas REALES que han precisado el contacto directo en íntimo entre cuerpo y sábana]
Midamos la distancia horizontal entre cualesquiera puntos, a uno y otro lado del rostro, de los "regueros" de sangre que corren por los cabellos del Hombre de la Sábana utilizando la magnífica herramienta que nos brinda Mario Latendresse en su Shroud Scope:
http://www.sindonology.org/shroudScope/shroudScope.shtml
Yo he utilizado la fotografía de Durante del 2002. Entre los 2 puntos medidos ( se pueden utilizar los que el lector quiera) obtengo una distancia de 15,47 cm, casi quince centímetros y medio.
Esa distancia es IMPOSIBLE que medie entre "esos" puntos del cabello a uno y otro lado de la cara. Sobre mi cabeza, con estatura cercana al 1,80, utilizado una cinta métrica flexible ni siquiera alcanzan esos 15,47 cm desde el cabello a la punta de la nariz.....
Esas manchas de sangre que aparecen en el cabello estaban cuando se produjeron sobre LAS MEJILLAS y la Sábana ENVOLVÍA el rostro de Jesús.
En el evento de la Resurrección la Sábana se ha DESPLEGADO y las manchas de sangre que estaban sobre las mejillas, al imprimirse la imagen, han quedado desplazadas a la zona en que se ha impreso la imagen del cabello.
¿Alguna otra explicación posible?
[*Importante :leer los comentarios. Un estimado lector, Dani, sobre copia de la Sábana corrige mi medición de 15,47 cm que resulta ser de 17,1.. cm aprox.
Gracias Dani.
La distancia sigue siendo igualmente IMPOSIBLE]
domingo, abril 08, 2012
Il Santo Volto di Manoppello
Sobre un tenue velo realizado al parecer con “biso marino”, mi vivencia personal ante Il Volto Santo di Manoppello es la de estar contemplando el rostro de el INOCENTE, el que sin ninguna culpa expió por todos y a todos perdona y ama.
Con una mirada que parece seguirte, si dejando el pensamiento “en blanco” me atrevo a mirarle a los ojos y mantener su mirada, siento una extraña sensación, un nudo en la garganta, mis ojos se humedecen y me siento pequeño, muy pequeño, inmensamente pequeño……..
¡Qué tontería!
"¡Y con todo, eran nuestras dolencias las que él llevaba
y nuestros dolores los que soportaba!
Nosotros le tuvimos por azotado,
herido de Dios y humillado.
Él ha sido herido por nuestras rebeldías,
molido por nuestras culpas.
Él soportó el castigo que nos trae la paz,
y con sus cardenales hemos sido curados.
Todos nosotros como ovejas erramos,
cada uno marchó por su camino,
y Yahvéh descargó sobre él
la culpa de todos nosotros.
Fue oprimido y él se humilló
y no abrió la boca.
Como un cordero al degüello era llevado
y como oveja que ante los que la trasquilan
está muda, tampoco él abrió la boca.
Tras arresto y juicio fue arrebatado
Y de su causa ¿quién se preocupa?
Fue arrancado de la tierra de los vivos;
por nuestras rebeldías fue entregado a la muerte
y se puso su sepultura entre los malvados
y con los ricos su tumba,
por más que no hizo atropello
ni hubo engaño en su boca."
Isaias 53
Con una mirada que parece seguirte, si dejando el pensamiento “en blanco” me atrevo a mirarle a los ojos y mantener su mirada, siento una extraña sensación, un nudo en la garganta, mis ojos se humedecen y me siento pequeño, muy pequeño, inmensamente pequeño……..
¡Qué tontería!
"¡Y con todo, eran nuestras dolencias las que él llevaba
y nuestros dolores los que soportaba!
Nosotros le tuvimos por azotado,
herido de Dios y humillado.
Él ha sido herido por nuestras rebeldías,
molido por nuestras culpas.
Él soportó el castigo que nos trae la paz,
y con sus cardenales hemos sido curados.
Todos nosotros como ovejas erramos,
cada uno marchó por su camino,
y Yahvéh descargó sobre él
la culpa de todos nosotros.
Fue oprimido y él se humilló
y no abrió la boca.
Como un cordero al degüello era llevado
y como oveja que ante los que la trasquilan
está muda, tampoco él abrió la boca.
Tras arresto y juicio fue arrebatado
Y de su causa ¿quién se preocupa?
Fue arrancado de la tierra de los vivos;
por nuestras rebeldías fue entregado a la muerte
y se puso su sepultura entre los malvados
y con los ricos su tumba,
por más que no hizo atropello
ni hubo engaño en su boca."
Isaias 53
jueves, marzo 29, 2012
Sobre el espacio de Destot y algunas cosas más. (2)
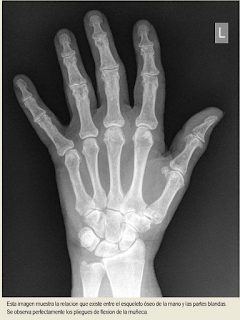
Cuando se establece el debate “clavo atravesando la palma de la mano vs. clavo atravesando la muñeca”, puesto que el atravesar la mano para clavarla en el madero implica forzosamente traspasar la estructura ósea y ello es por tanto definitorio, conviene tener en cuenta que la nomenclatura “vulgar” o popular, la anatómica ósea y la anatómica con las partes blandas (tal y como apreciamos a simple vista la mano) no son exactamente superponibles.
Como observamos en estas imágenes en las que se aprecia tanto el esqueleto como las partes blandas, la palma de la mano comprende huesos del carpo, los cinco metacarpianos y parte de las falanges de los dedos a excepción del pulgar.
Al igual que observamos que la muñeca comprende los huesos del carpo, su articulación con los metacarpianos de un extremo y su articulación con el radio del otro extremo.
Así que si nos referimos a la palma en un debate sobre crucifixión queremos referirnos a la plena palma ó al medio de la palma, que es el territorio de los metacarpianos, y si nos referimos a muñeca lo estamos haciendo al territorio de los huesos carpianos y sus articulaciones.
El debate debiera ser pues “clavo atravesando los huesos metacarpianos vs. clavo atravesando los huesos carpianos”.
Pierre Barbet deja claro desde las primeras líneas de su trabajo que rechaza la presencia “en pleine paume les clous du Crucifié” (“en plena palma los clavos del Crucificado”) y afirma que “les clous sont exactement dans le pli de flexion du poignet, les pouces en opposition dans les paumes et légère flexion” ( “los clavos están exactamente en el pliegue de flexion de la muñeca, los pulgares en oposición en las palmas y ligera flexión”).
El pliegue de flexión de la muñeca se corresponde con la proyección sobre la superficie palmar de la articulación entre la primera y segunda fila de los huesos del carpo .
En tanto que Barbet define claramente su propuesta, Zugibe “juega” con las terminologías, la “vulgar”, la anatómica ósea y la anatómica con las partes blandas.
Zugibe establece dos puntos probables de entrada del clavo, pero se decide claramente para introducir el clavo por uno de ellos que sitúa en lo que él denomina “la parte superior de la palma de la mano…..NO EL MEDIO DE LA PALMA” y luego atravesar el esqueleto de la mano por una articulación carpo-metacarpiana, la del metacarpiano II con los huesos grande y trapezoide.
“The upper part of the palm of the hand ... NOT THE MIDDLE OF THE PALM” (las mayúsculas en negritas son de Zugibe, no mías).
Nos muestra dos fotografías, que yo he colocado juntas, como si formaran parte de una similar maniobra para atravesar la mano utilizando un clavo y una aguja.
En la fotografía de la izquierda la posición del clavo forma un ángulo de aproximadamente 20 grados con respecto a la vertical sobre el eje brazo-mano.
En la fotografía de la derecha la aguja que traspasa la mano forma un ángulo de aproximadamente 45 grados con respecto a la vertical sobre el eje brazo mano.
Pincha las partes blandas con el clavo cercano a la vertical en la zona de la palma fronteriza a la muñeca para inclinarlo después 45 grados (lo muestra con una aguja y no con el clavo) y atravesar el esqueleto de la mano en el territorio de la muñeca.
Es una maniobra de “clavar”completamente absurda.
A Zugibe le parece sin embargo como la más pausible por una serie de razones a cual más ambigua a mi parecer.
Veamos sus “razones”:
1.- La palma de la mano es en efecto la región por la cual durante siglos se ha “creído” que fue atravesada por el clavo la mano de Jesús, pero a Zugibe se le olvidó puntualizar que era el MEDIO de la palma de la mano ese sitio “creído” durante siglos y no la zona por él propuesta como “upper part of the palm”. El lector puede entretenerse en ver algo más de doscientas crucifixiones que mantienen lo que digo.
http://www.artbible.net/3JC/-Mat-27,32_Crucifixion/index.html
Ese primera “razón” que esgrime Zugibe no es favorable precisamente a su propia teoría……..
2.- El paso del clavo entre el metacarpiano II y los huesos grande y trapezoide probablemente pudiera soportar el peso del crucificado, al igual que lo soportarían en las otras teorías.
3.- Afirma Zugibe que el punto de salida del clavo, en el dorso de la mano, es EXACTAMENTE el que observamos en la Sábana. Esa afirmación no puede mantenerse pues NO conocemos EXACTAMENTE ese punto de salida del clavo.
4.- La mano siempre ha comprendido anatómicamente el carpo, el metacarpo y los dedos, en los tiempos de Lisipo al igual que ahora, por lo que esa cuarta “razón” no tiene ningún sentido.
5.- La no rotura de los huesos, en caso de que así fuera pues Zugibe atraviesa con una aguja gruesa pero no con un clavo cuadrado de 8 mm de sección, sería igualmente concordante con cualquiera de las otras teorías propuestas.
6.- Es posible que un clavo como los supuestos utilizados en la crucifixión provocara un aparente aumento de la longitud de los dedos, pero ello sería común a cualquiera de las teorías propuestas por la enorme dislocación (descolocación) de las estructuras óseas, agravada aún mucho más por el peso del cuerpo y los esfuerzos respiratorios.
[ Aunque, y pese a ello, como mostraré de manera muy sencilla en otro post, los dedos TAL Y COMO se muestran en la Sábana Santa NO están alargados sino, muy por el contrario, están APARENTEMENTE acortados…….]
7.-En cuanto a su última “razón”, que haya sido el sitio en que muchos de los “estigmatizados” mostraran sus heridas, Zugibe “remite” al libro de Barbet pero “omite” lo que el cirujano francés escribe sobre cúal era el pensamiento sobre la topografía del punto de entrada del clavo de una gran estigmatizada como Theresa of Konnersruth (Teresa Newman):
“No creo que Nuestro Señor fuera clavado en las palmas donde tengo mis estigmas. Estas marcas tienen un significado místico. Jesús debió ser fijado más sólidamente sobre la Cruz.” Teresa Newman.
A lo que añado que el más importante quizás de los estigmatizados tras San Francisco de Asís, el Padre Pío de Pietrelcina elevado a los altares el 16 de Junio del 2002 bajo el nombre de San Pío de Pietrelcina, a la pregunta de por qué la herida del costado estaba en sitio diferente al atribuido a dicha herida en el Señor, respondía:
"Sería demasiado si fuera exactamente parecida a la del Señor". "Prophet of the people". Dorothy Gaudiose. Alba House. NY,NY.1977. p..63
Creo que los estigmas, tema enormemente complejo y enormemente confuso, deben considerarse en principio, y en lo que respecta a los denominados estigmas “espontáneos”, como símbolos místicos sin pretender considerar en ellos un valor “topográfico”.
Ya que Zugibe en el inicio de su trabajo hace suyas las palabras de Father Weyland:
“Conjeturas y teorías no respaldadas por experimentos realistas siempre me han dejado frío", debiera haber realizado al menos una mínima experimentación.
No es así
Como observamos en estas imágenes en las que se aprecia tanto el esqueleto como las partes blandas, la palma de la mano comprende huesos del carpo, los cinco metacarpianos y parte de las falanges de los dedos a excepción del pulgar.
Al igual que observamos que la muñeca comprende los huesos del carpo, su articulación con los metacarpianos de un extremo y su articulación con el radio del otro extremo.
Así que si nos referimos a la palma en un debate sobre crucifixión queremos referirnos a la plena palma ó al medio de la palma, que es el territorio de los metacarpianos, y si nos referimos a muñeca lo estamos haciendo al territorio de los huesos carpianos y sus articulaciones.
El debate debiera ser pues “clavo atravesando los huesos metacarpianos vs. clavo atravesando los huesos carpianos”.
Pierre Barbet deja claro desde las primeras líneas de su trabajo que rechaza la presencia “en pleine paume les clous du Crucifié” (“en plena palma los clavos del Crucificado”) y afirma que “les clous sont exactement dans le pli de flexion du poignet, les pouces en opposition dans les paumes et légère flexion” ( “los clavos están exactamente en el pliegue de flexion de la muñeca, los pulgares en oposición en las palmas y ligera flexión”).
El pliegue de flexión de la muñeca se corresponde con la proyección sobre la superficie palmar de la articulación entre la primera y segunda fila de los huesos del carpo .
En tanto que Barbet define claramente su propuesta, Zugibe “juega” con las terminologías, la “vulgar”, la anatómica ósea y la anatómica con las partes blandas.
Zugibe establece dos puntos probables de entrada del clavo, pero se decide claramente para introducir el clavo por uno de ellos que sitúa en lo que él denomina “la parte superior de la palma de la mano…..NO EL MEDIO DE LA PALMA” y luego atravesar el esqueleto de la mano por una articulación carpo-metacarpiana, la del metacarpiano II con los huesos grande y trapezoide.
“The upper part of the palm of the hand ... NOT THE MIDDLE OF THE PALM” (las mayúsculas en negritas son de Zugibe, no mías).
Nos muestra dos fotografías, que yo he colocado juntas, como si formaran parte de una similar maniobra para atravesar la mano utilizando un clavo y una aguja.
En la fotografía de la izquierda la posición del clavo forma un ángulo de aproximadamente 20 grados con respecto a la vertical sobre el eje brazo-mano.
En la fotografía de la derecha la aguja que traspasa la mano forma un ángulo de aproximadamente 45 grados con respecto a la vertical sobre el eje brazo mano.
Pincha las partes blandas con el clavo cercano a la vertical en la zona de la palma fronteriza a la muñeca para inclinarlo después 45 grados (lo muestra con una aguja y no con el clavo) y atravesar el esqueleto de la mano en el territorio de la muñeca.
Es una maniobra de “clavar”completamente absurda.
A Zugibe le parece sin embargo como la más pausible por una serie de razones a cual más ambigua a mi parecer.
Veamos sus “razones”:
- “The palm region is the location most Christians across the centuries perceived the wound to be”.
- The path through the upper palm is very strong and anatomically sound.
- The path ends exactly where the shroud shows the wound image.
- In the ancient literature, Lipsius and other authors and painters and sculptors related and depicted the hands that were transfixed in crucifixion.
- Fifthly, it assures that no bones are broken in accord with Exodus 12:46 and Numbers 9:12.
- Sixthly, it explains the apparent lengthening of the fingers of the Turin Shroud because of nail compression at this area.
- Lastly, it is where most of the stigmatists( prior to Dr. Barbet’s book ) like St. Francis of Assisi, Padre Pio, Theresa of Konnersruth, St. Catherine of Sienna, Catherine of Ricci, Louise Lateau, etc. have displayed their wounds throughout the centuries.
Comentemos sus “razones” :
1.- La palma de la mano es en efecto la región por la cual durante siglos se ha “creído” que fue atravesada por el clavo la mano de Jesús, pero a Zugibe se le olvidó puntualizar que era el MEDIO de la palma de la mano ese sitio “creído” durante siglos y no la zona por él propuesta como “upper part of the palm”. El lector puede entretenerse en ver algo más de doscientas crucifixiones que mantienen lo que digo.
http://www.artbible.net/3JC/-Mat-27,32_Crucifixion/index.html
Ese primera “razón” que esgrime Zugibe no es favorable precisamente a su propia teoría……..
2.- El paso del clavo entre el metacarpiano II y los huesos grande y trapezoide probablemente pudiera soportar el peso del crucificado, al igual que lo soportarían en las otras teorías.
3.- Afirma Zugibe que el punto de salida del clavo, en el dorso de la mano, es EXACTAMENTE el que observamos en la Sábana. Esa afirmación no puede mantenerse pues NO conocemos EXACTAMENTE ese punto de salida del clavo.
4.- La mano siempre ha comprendido anatómicamente el carpo, el metacarpo y los dedos, en los tiempos de Lisipo al igual que ahora, por lo que esa cuarta “razón” no tiene ningún sentido.
5.- La no rotura de los huesos, en caso de que así fuera pues Zugibe atraviesa con una aguja gruesa pero no con un clavo cuadrado de 8 mm de sección, sería igualmente concordante con cualquiera de las otras teorías propuestas.
6.- Es posible que un clavo como los supuestos utilizados en la crucifixión provocara un aparente aumento de la longitud de los dedos, pero ello sería común a cualquiera de las teorías propuestas por la enorme dislocación (descolocación) de las estructuras óseas, agravada aún mucho más por el peso del cuerpo y los esfuerzos respiratorios.
[ Aunque, y pese a ello, como mostraré de manera muy sencilla en otro post, los dedos TAL Y COMO se muestran en la Sábana Santa NO están alargados sino, muy por el contrario, están APARENTEMENTE acortados…….]
7.-En cuanto a su última “razón”, que haya sido el sitio en que muchos de los “estigmatizados” mostraran sus heridas, Zugibe “remite” al libro de Barbet pero “omite” lo que el cirujano francés escribe sobre cúal era el pensamiento sobre la topografía del punto de entrada del clavo de una gran estigmatizada como Theresa of Konnersruth (Teresa Newman):
“No creo que Nuestro Señor fuera clavado en las palmas donde tengo mis estigmas. Estas marcas tienen un significado místico. Jesús debió ser fijado más sólidamente sobre la Cruz.” Teresa Newman.
A lo que añado que el más importante quizás de los estigmatizados tras San Francisco de Asís, el Padre Pío de Pietrelcina elevado a los altares el 16 de Junio del 2002 bajo el nombre de San Pío de Pietrelcina, a la pregunta de por qué la herida del costado estaba en sitio diferente al atribuido a dicha herida en el Señor, respondía:
"Sería demasiado si fuera exactamente parecida a la del Señor". "Prophet of the people". Dorothy Gaudiose. Alba House. NY,NY.1977. p..63
Creo que los estigmas, tema enormemente complejo y enormemente confuso, deben considerarse en principio, y en lo que respecta a los denominados estigmas “espontáneos”, como símbolos místicos sin pretender considerar en ellos un valor “topográfico”.
Ya que Zugibe en el inicio de su trabajo hace suyas las palabras de Father Weyland:
“Conjeturas y teorías no respaldadas por experimentos realistas siempre me han dejado frío", debiera haber realizado al menos una mínima experimentación.
No es así
En definitiva la teoría del patólogo forense Frederick T. Zugibe, además de confusa y carente de soporte experimental, parece la menos convincente de las tres que he expuesto
************************
25-2-2015
Punto de salida del clavo,aproximadamente, en el dorso de una mano normal y siguiendo a Barbet, con ocasión de un debate en el que se proponen otros tres puntos distintos
.
Suscribirse a:
Comentarios (Atom)

































